ナチュラルデンチャー
部分入れ歯の金属バネ。バネさえなければ・・・、と思われたことありませんか。
金属バネのない入れ歯(ナチュラルデンチャ―)です。プラスチックでできています。
お口をあけても金属バネが見えないので、審美性に大変優れています。
写真のようにとても柔軟性のある素材でできており、破折にも強い素材ですので安心してお使いいただけます。
ナチュラルデンチャ―にメタルフレームを組み込みました。
これにより、審美性と咬みやすさの両方を追及できるようになります。
金属バネが気になる。でもしっかりと咬めるようにしたいという方におすすめです。
| ナチュラルデンチャーのデメリット |
経年的に、ナチュラルデンチャー自体の樹脂部分の変色、退色がみられることがあります。
また、樹脂のクラスプ部分(歯を囲い義歯を支えている部分)がゆるんできたり、破損することがあります。 |
快適な部分入れ歯
古い義歯の口腔内写真では、下前歯の裏側にある金属に厚みがあり、歯ぐきから少し浮きあがっている部分があるのが、おわかりになりますか?新しい義歯の口腔内写真では金属部分の厚みが薄く、歯ぐきにピタッとそっているのが、おわかりになるかと思います。
金属部分の断面像を見ていただければ、とても薄いのがおわかりになるかと思います。
義歯(入れ歯)をお使いの方は、良くご存じかと思いますが、下前歯の裏側の部分が、舌にさわり気になる方が多いかと思います。この2つの義歯(入れ歯)は作製方法が異なるのですが、作製方法を変えると、快適な義歯(入れ歯)へと変貌します。
|
|
古い義歯 の口腔内写真
|
|
(金属に厚みがあり、舌にさわり気になっていました)
|
|
 |
 |
|
|
|
(歯ぐきにピタッとそっていて快適になりました)
|
|
 |
|
金属部分の断面像
|
|
(左:新しい義歯 右:古い義歯)
|
|
|
 |
|
|
|
(とても薄いのがおわかりになるかと思います。)
|
|
部分入れ歯
義歯:部分入れ歯(部分床義歯)と総入れ歯(全部床義歯)の2種類があります。ここでは部分入れ歯の1例を紹介します。
左下の写真は保険で作成した義歯(プラスチック)です。強度の問題からどうしても厚みが出てしまい、違和感を感じたり発音がしづらくなります。
右下の写真が金属床義歯(金属とプラスチック)です。コバルトクロムと言われる金属を使用しています。写真ではわかりにくいですが、上あご側をかなり薄くすることができました(金属部分)。いずれの義歯も同一の方のものです。鷲尾英郎が作らせていただきました。
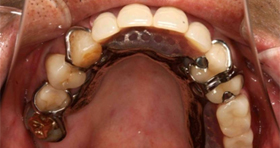
下2枚の写真が上記の金属床義歯を、お口の中に入れた写真です。
 |
| 治療前:保険で作成した義歯(プラスチック) | |  |
|
 |
| 金属床義歯を、お口の中に入れた写真 |
|
|
|
|
|
|
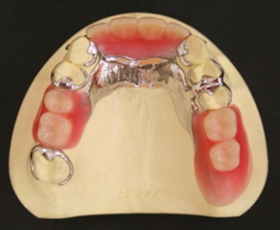
金属床義歯の1例です。
コバルトクロムという金属を使用しており、上あごの部分を薄く、小さくすることができます。
|
| 2008年11月18日 東京都町田市 36歳 女性 |
6年くらい前に虫歯で歯医者さんにかかり、レントゲンをとったところ、上の右側の犬歯が乳歯のままだといわれました。このような場合どのような治療方法があるのでしょうか。
|  |
|
|