|
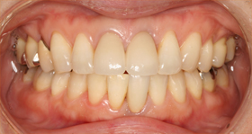
e.max
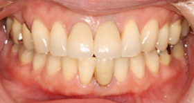
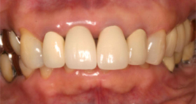
2枚の写真はe.maxで作製したものです。フレーム構造を持たないため、ブリッジはできませんが、単冠(1本のかぶせもの)であれば十分な強度をもちます。ジルコニアフレームを用いたオールセラミックスクラウンと比較しますと、色調・強度で少し劣りますが、セラモメタルクラウンと比較しますと、金属を使用しませんので、自然な感じ(より天然歯に近づいた)に仕上がります。
症例
 |
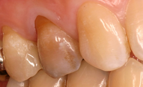
左上犬歯にファイバーポストコアを入れたところ |
|
 |
 |
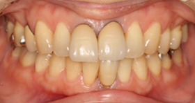
左上犬歯にe.maxを入れたところ |
|
オールセラミックスクラウン
名前のとおり全てセラミックスでできた、かぶせ物です。
内面に金属がなくても、極めて高い強度を持ち、割れにくい材料です。
かぶせ物に金属がないため、光の透過もあり、また歯肉が金属の影響で黒くなることがないため、セラモメタルクラウンより天然歯に近い自然な仕上がりになります。
ファイバーコア(メタルレス)と併用することでより良い結果が得られます。
症例
 |
オールセラミックスクラウン前 |
|
 |
 |
オールセラミックスクラウン後 |
|
|
また、下症例のように、白くするだけではなくご自身の歯の色調に合わせて作ることも出来ます。
土台にはファイバーコアを使用したオールセラミックスクラウンです。
 |
|
オールセラミックスクラウン前
|
|
 |
|
|
詳しくは、お気軽にご相談ください。
|
ハイブリッドセラミックス(商品名:エステニア 他) 保険の適応になるプラスチックのつめ物(レジン)は、変色や着色をしやすい、磨耗しやすく耐久性に劣るという欠点があります。そのため咬む力が強くかかる場所には向いていません。また、金属のつめ物は、耐久性はありますが、審美的ではありません。
ハイブリッドセラミックスは、セラミックスとプラスチック(レジン)を混ぜ合わせたもので咬む力が強くかかる部分にも耐えうる強度と、審美性を兼ね備えた材料になります。
★症例ではインレー(部分的なつめ物)ですが、クラウン(かぶせ物、さし歯)にも適応できます。
 |
| ハイブリッドセラミックス前 | |  |
|
 |
| ハイブリッドセラミックス前 | |  |
| |
| セラモメタルクラウン
中のフレームは金属、表面の白い部分はセラミックスでできた、かぶせ物です。 セラミックスは変色せず、透明感があり、色の自由度も高いため審美性に優れた材料です。しかし衝撃に弱く割れやすいという欠点があります。そのため、強度を持たせるためにフレームを金属としています。
セラモメタルクラウンは、セラミックスと金属の良いところを兼ね備えた、審美的に優れたかぶせ物です。審美歯科治療では多く使用されています。
症例
 |
| セラモメタルクラウン前 | |  |
|
 |
| セラモメタルクラウン前 | |  |
| |
|
ハイブリッドセラミックスインレー 〜部分的な銀歯の詰め物を白くする治療〜
ハイブリッドセラミックスインレーとは白い部分的なつめ物のことです。 見た目が良く、金属を使用しないので、金属の溶け出しによる歯や歯ぐきの変色、金属アレルギーなどが起こる可能性がありません。硬すぎないので、周囲の歯や噛み合う歯を痛めにくい詰め物です。
症例
 |
|
|
奥から3・4番目の2本→ハイブリッドセラミックインレー
奥から2番目(金歯の手前)→セラモメタルクラウン |
|
|
審美歯科のデメリット |
経年的に、セラミックスなどの白い材料は、割れて破損することがあります。
また歯ぎしり・食いしばりのある方は、経年的に割れて破損する以外に、咬み合う歯を痛めてしまう場合があります。 |
| 2012年11月26日 神奈川県横浜市青葉区 17歳 女性 |
私は、小さいころから両サイドの犬歯が尖っており、自分の笑ったときの顔が嫌いです。そこで、両サイドの尖った部分を削って被せ物をして、上の歯だけでも歯並びを綺麗にしたいんです。あと、ホワイトニングもしてみたいと思っています。
|
 |
|
| 2012年4月16日 横浜市戸塚区 27歳 女性 |
わたしは前歯の左側を小学生の時にぶつけておってしまい差し歯の状態です。ほかにも歯が抜けていたり、虫歯だったりするのですが中学生の時に一度差し歯が抜けて、虫歯だらけで恥ずかしかったのですが差し歯をいれてくれた歯医者さんへ通う決意をして歯医者さんへ向かいました。
|
 |
|
| 2010年8月1日 京都市南区 22歳 女性 |
私は22歳で喫煙もしたことがないのですが、歯茎が黒ずんでいます。喫煙以外に何に原因があるのでしょうか?
|
 |
|
| 2010年7月15日 神奈川県 44歳 女性 |
前歯のさし歯の表面部分(白いエナメル)が取れてしまいました。治療は芯の部分もすべて外すのでしょうか?それと途中で気持ちが悪くならないかと思うと、なかなか治療に行く勇気がでません。
|
 |
|
| 2009年6月16日 横浜市青葉区 24歳 女性 |
前歯の2本が出ているのですが、年々2本のうちの1本だけが前に出てきている気がします。その場合、治すことは可能ですか?歯を削って、セラミックにした方がいいのでしょうか? |  |
|
| 2009年5月17日 神奈川県茅ヶ崎市 41歳 女性 |
歯茎ごと飛び出ている出っ歯の者です。25年ぐらい前に前歯の4本の神経を抜き、差し歯にしております。2回、土台ごと差し歯を交換したことがあり、残っている自分の歯根は かなり小さいです。その他にも 差し歯や虫歯の治療をした歯がたくさんあります。こんな状態で矯正は可能でしょうか? |  |
| |