日曜診療
横浜市青葉区奈良5-16-10
月〜金 9:00〜13:00/14:30〜19:00
土曜日 9:00〜12:30/14:00〜18:00
日曜日 9:00〜13:00 休診 木・祝日
ホーム > PMTC・歯のクリーニング
ご予約・お問い合わせは TEL:045-963-5582(予約優先制・新患・急患随時受付)

痛くない歯医者
デンタルケアークラブ
予防歯科
一般歯科
親知らず抜歯
PMTC・歯のクリーニング
小児歯科
治療後,笑顔でピース♪
マウスガード
インプラント
審美歯科
ホワイトニング
歯周病治療
部分入れ歯
費用一覧
8020運動

医院風景
当院のコンセプト
Dr.スタッフ紹介
診療時間・アクセス
歯科衛生士・助手募集

オンライン歯科相談受付
オンライン歯科相談一覧
オンライン予約
PMTC・歯のクリーニング

PMTC・歯のクリーニング
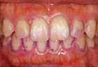
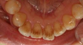
PMTC・歯のクリーニング前
PMTC・歯のクリーニング前
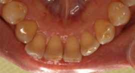
PMTC・歯のクリーニング後
PMTC・歯のクリーニング後

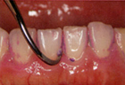
バイオフィルムをご存知ですか?

歯面のバイオフィルム

 ちょっと聞きなれない言葉ですが、「バイオフィルム」は細菌の塊であるプラークの強固な集合体です。バイオフィルムを分かりやすくイメージすると、キッチンの流しやお風呂場の浴槽などに付着する"ヌルヌル"です。それは細菌が簡単に流されたくないということから、粘性のフィルム状の膜をつくって繁殖しやすい環境に成長したものです。
 バイオフィルムは歯面や歯と歯肉の間の歯周ポケットに付着するだけでなく、舌の表面(口臭の原因となる舌苔)や入れ歯にも付着し、
むし歯や歯周病を引き起こします!
バイオフィルムは歯ブラシの届かない部位に付着します
 バイオフィルムが付着するのは、毎日のブラッシングでもきちんと磨けていない部分です。
 バイオフィルムが歯面にあるエナメル質をとかしムシ歯を発生させます。上図の歯周ポケット内では歯肉の炎症を拡大させて、歯を支えている骨まで破壊され歯を失うことになります。

PMTC・歯のクリーニングの流れ
リスクコントロール方法の説明 こんにちは。歯科衛生士の豊岡です。
 歯ブラシの届きにくい部分に付着したバイオフィルムを除去するには、どうしても歯科医院での定期的なクリーニング・PMTCが必要です。
 PMTCとは、Professionalプロフェッショナル専門家(歯科衛生士)により、Mechanicalメカニカル専用の器具を使用して、Toothトゥース歯を、Cleaningクリーニング清掃する、専門的な歯のクリーニング方法です。
 下記はPMTCの一般的なステップです。(これは一般的な手順で、患者さんの口の中の状態や症状によって、やり方が異なる場合もございます。)

1.口の状態のチェック
歯の表面の染め出しを行い、ブラッシングの状態、バイオフィルムの付着をチェックします。きれいにブラッシングしているつもりでもバイオフィルムは付いています。
2.歯石除去
歯の表面や歯肉の中(歯根の表面)などに付着している歯石を除去します。
3.洗浄
人によっては歯周ポケット内のバイオフィルムを、歯科医院専用の器具を使って除去(破壊)する必要があります。
 
4.清掃
歯科医院専用の器具を使って歯面、歯間部、歯と歯肉の間、咬合面などをきれいにします。きれいになったでしょ!
5.フッ化物の塗布
フッ化物などを塗布し、歯質を強化します。
 

クリーニング・PMTCの効果
■ムシ歯の予防
バイオフィルムを除去し再付着を防ぐのでムシ歯予防効果があります。そのため歯のエナメル質表面へのカルシウム補給を促し、再石灰化を促進します。
■歯周病・歯肉炎の改善
歯周ポケット1〜3mmのバイオフィルムを除去するので歯肉の状態を改善し予防にもつながります。3mm以上深いポケットの場合は他の方法でバイオフィルムを除去します。
■歯質の強化
洗浄後にフッ化物入りのペーストやカルシウム補給剤を塗布することにより、歯の再石灰化をさらに促進します。
■自然な美しさの回復
歯についたヤニや色素も取り除けるので、患者さん本来の光沢のある歯面になります。(※歯を薬品で白くするホワイトニングとは異なります。)
■PMTCを行うことでプラークが付きにくくなります。
PMTCで歯面をツルツルにしますので、しばらくの間は汚れがつきにくくなり健康な状態を維持できます。しかし、一定の期間を過ぎるとまた付着しやすくなるので定期的にPMTCを受けられることが最良です。(期間については、個人差がありますのでご相談ください。)
■入れ歯にもPMTCは効果的です。
入れ歯にもバイオフィルムは付いてしまいます。清掃が不十分だと歯ぐきの状態が悪化し、入れ歯も合わなくなってきます。入れ歯だから関係ないと思わずに、入れ歯も定期的に清掃しましょう!

クリーニング・PMTCのデメリット

着色(お茶などによる着色やヤニなど)ではない歯の本来の変色は取り除くことはできません。
また、クリーニング後は歯ぐきに炎症(腫れ)があると、出血が起こる場合があります。
PMTCについては自費診療となります。


Q&A
クリーニング・PMTCでご不明な点がございましたら、お気軽にご相談ください!

Q1 PMTCはどのような人に必要ですか?
A むし歯や歯周病の予防・再発防止に欠かすことができないのがバイオフィルムの除去です。幼児から高齢の方まで、今まで歯科治療を必要としなかった方から、多くの治療を受けられた方まで、すべての人に対してそれぞれの状況に合ったPMTCが必要です。

Q2 バイオフィルムができやすい人は?
A 歯ブラシがきちんと当る箇所はバイオフィルムができる前にとれていましますが、ブラッシングがうまくできない人、歯並びが悪く角度的に歯ブラシがうまく当らない人、歯周ポケットが深い人、矯正治療中の人、修復物の多い人などは、できやすい条件があるので注意が必要です。

■Q3 バイオフィルムは自分で除去できませんか?
A  バイオフィルムの除去は、ご自身で行うブラッシングやフロッシング(糸ようじ)などのセルフケアが基本となります。しかし、セルフケアでバイオフィルムを100%取り除くことは大変難しく、磨きにくい部分にはどうしても取り残しが発生してしまいます。
 PMTCは「プロの目」でこの磨き残しをチェックし「プロの手」で残ったバイオフィルムを除去します。つまり、みなさんのセルフケアを手助けし、健康維持増進をサポートするのです。
 また、最近は通信販売などでいろいろなクリーニング・グッズを手に入れることができますが、天然歯とブリッジやクラウンなどの人工物では、使用する器材が異なります。器具や薬剤の適材適所の判断には、プロの知識が必要です。誤った使用はかえって健康を害してしまうことがあります。

Q4 PMTCは痛いですか?
A  痛みや不快感はありません。PMTCを受けた後は、口の中がさっぱりして爽快感も感じますので、美容院に通うのと同じような感覚で定期的に受診される方も増えています。

Q5 PMTCを行う間隔はどのくらいがいいのですか?
A 一般的には1〜3ヵ月に1回と言われますが、患者さんの状態や症状によっても異なるので一概には決められません。例えば、治療でいろんな補綴物が入るほど口の中の環境も複雑になるのでセルフケアも難しくなります。また、高齢者で薬を多用している方は唾液の出も悪くなることが多いのでバイオフィルムが付きやすくなります。お気軽にご相談ください。

リンク集

2010年8月27日 横浜市都筑区 55歳 女性
下顎の歯の付け根、その周囲特(内側前面)、上顎の歯の付け根の周囲(内側前面)にひりひり感があります。かかりつけの歯科には定期的に受診し歯石除去をうけています。

2008年12月23日  横浜市戸塚区 11ヶ月の女の子 女性
医療証を持っててもフッ素が有料の病院と無料の病院があるんですが違いは何ですか?薬の違いでしょうか?

2008年11月24日 海外 32歳 女性
海外在住の者です。妊娠する前に歯科の治療を終わらせようと思っているのですが、生まれてくる子どものために3DSを受けたいと思い、一時帰国中に貴院に伺うことを考えております。

2008年11月14日  神奈川県横浜市 25歳 女性
先生によって虫歯の診断が異なることがあるのでしょうか。
あおばデンタルクリニック
神奈川県横浜市青葉区奈良5-16-10

Google mapで拡大

東急こどもの国線 こどもの国駅より徒歩9分
ご予約・お問合わせ
診療時間
午前の診療 9:00-13:00
午後の診療 14:30-19:00
毎週土曜日は、午前の診療 9:00〜 12:30  午後の診療 14:00〜18:00 となります。
オンライン予約
Copyright(c)2008-2011 Aoba Dental Clinic. All Rights Reserved.