|
| ホワイトニングとは |
白くきれいな歯は、笑顔がすてきですね。ホワイトニングは、変色した歯を削らずに、痛みもなく、白くきれいな歯にします。歯の変色を、薬の作用で白くします。
当クリニックでは、自宅などでご自身が行うホームホワイトニングを採用しております。ホームホワイトニングは、専用のトレーを作成し、その中に薬液(ホワイトニング用ジェル)を入れて、お口の中に装着していただきます。ご自身で行うため、好きな時間に行うこともできます。
ホームホワイトニングは、効果が出るのに時間がかかることもありますが、オフィスホワイトニングと比較して、仕上がりに透明感があり、白さが長期間維持されるという利点があります。
- ホワイトニングの効果には、個人差があります。
- 歯に虫歯などの不具合がある場合は、治療を行ってからとなる場合があります。
- 変色の原因や色調によっては適応ではないこともあります。
- ホワイトニングをして白くなった歯は、後戻りといい徐々に元に戻ることがありますが(1〜2年くらいで)、定期的にホワイトニングすることで白さを維持することができます。
詳しくは、お気軽にご相談ください。
|
| ホワイトニング用トレーとジェル |
 |
トレーの厚みは0.8mmくらいと薄く、お口の中にいれてもほとんど違和感はありません。トレー自体も透明〜半透明、ジェルも透明なので、いれていてもさほど目立ちません。食事中はできませんが、いれた状態で会話をすることもできます。上下のトレーをいれていても、違和感なく寝れてしまうほどです。
当クリニックでは、上下顎各1個のホワイトニング用マウストレー、ホワイトニングジェル2本、トレーケースをセットでお渡ししています。ホワイトニングジェルは株式会社 松風 ハイライトシェードアップ( 厚生労働省認可品)を使用しております。もし、上下の前歯のみ行うのであれば、ジェル2本で3〜4週間程度使用することができ、また効果も実感していただけるかと思います。
もちろん、奥歯に使っていただくことも可能です。 |
|
| ホワイトニングのデメリット |
ホワイトニング後の効果は永久的に続くわけではありません。時間の経過と共に、後戻りを起こします。
また、ホワイトニングを行なうことで、知覚過敏のような症状が出る場合があります。
また、効果には個人差があるため、ご希望に添えない場合もあります。 |
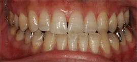
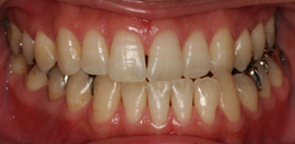
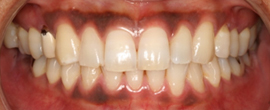
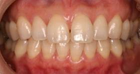
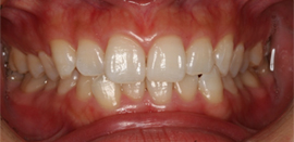
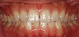
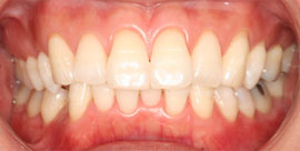
症例
 |
ホワイトニング前 |
|
|
|
 |
ホワイトニング前 |
|
|
|
 |
ホワイトニング前 |
|
|
|
 |
ホワイトニング前 |
|
|
|
 |
ホワイトニング前 |
|
|
 |
ホワイトニング後
(1日2〜3時間、7日経過したところ)
|
|
 |
ホワイトニング前 |
|
|
|
| 2015年4月24日 神奈川 22歳 女性 |
ここ何年も 歯の検診を受けていないため近々行こうと考えています。
また、歯のクリーニングかホワイトニングもやりたいと思っているのですが、ホワイトニングをやる場合歯並びが悪いとやり辛いですか?
|
 |
|
| 2011年5月31日 横浜市青葉区 31歳 女性 |
ホワイトニングについて、上の歯2本を白くしたい場合、2本のみをホワイトニングすることは可能なのでしょうか。費用も21,000円とのことでしょうか。よろしくお願い致します。
|
 |
|
| 2011年2月3日 横浜市青葉区 31歳 女性 |
今年の秋に挙式予定なので、ホワイトニングをしたいと思っております。左の前歯が差し歯なのですが、差し歯はホワイトニングをしても白くならないのでしょうか。白くならない場合は、差し歯自体を白いものに替える以外、方法はないでしょうか。
|
 |
|
| 2010年7月22日 神奈川県 21歳 女性 |
他の歯医者さんに比べてホワイトニングの料金がすごくお安いのでビックリしたのですが、21000円だけで出来るのでしょうか?
|
 |
|
| 2009年5月25日 神奈川県藤沢市 43歳 女性 |
2週間ほど前に、義歯のつくり替えの治療に歯科にいったことがきっかけで、歯石取りなどのクリーニングを行った後、ホワイトニングをすることになりました。
|  |
|
| 2009年3月14日 神奈川県横浜市 30歳 女性 |
妊娠してるかしてないかまだ、わからない微妙な時期ですが、やはりホワイトニングは、この時期は避けたほうがいいのでしょうか? |  |
|
| 2008年1月10日 神奈川 26歳 女性 |
はじめまして。3月に挙式を控えており歯のホワイトニングを考えております。どちらのサイトを拝見しても知覚過敏がある場合はその治療を終えてからとあります。虫歯はないのですが、知覚過敏があります。
|  |
| |