日曜診療
横浜市青葉区奈良5-16-10
月〜金 9:00〜13:00/14:30〜19:00
土曜日 9:00〜12:30/14:00〜18:00
日曜日 9:00〜13:00 休診 木・祝日
ホーム > むし歯,歯周病,予防歯科
ご予約・お問い合わせは TEL:045-963-5582(予約優先制・新患・急患随時受付)

痛くない歯医者
デンタルケアークラブ
予防歯科
一般歯科
親知らず抜歯
PMTC・歯のクリーニング
小児歯科
治療後,笑顔でピース♪
マウスガード
インプラント
審美歯科
ホワイトニング
歯周病治療
部分入れ歯
費用一覧
8020運動

医院風景
当院のコンセプト
Dr.スタッフ紹介
診療時間・アクセス
歯科衛生士・助手募集

オンライン歯科相談受付
オンライン歯科相談一覧
オンライン予約
リンク集

お子さんを虫歯から守るためにも・・・
虫歯の病因菌(ミュータンス菌)は生まれたばかりの赤ちゃんの口の中にはいないことが確認されています。
しかし、ミュータンス菌は感染して(ご両親などから感染します。)うつることが知られており、ミュータンス菌の量が多いお母さんとお子様が、同じスプーンなどを使って食事をするとミュータンス菌に感染しやすくなり、その時期は1歳半〜3歳と言われています。
お子様の歯の虫歯予防を始める前に、ご両親の歯のケアをしましょう。
ご両親のお口の中が健康になると、結果的にお子様の歯を守れるんですね。
治していないむし歯があると、ミュータンス菌が増加しますので、早めに治療をしましょう。

カリエスフリー(むし歯ゼロ)

左写真は3歳9ヶ月の男の子です。カリエスフリー(むし歯ゼロ)です。お母さまは全歯27本中、14本が処置している歯をお持ちの方でした。むし歯菌の数も多く、むし歯になるリスクがとても高い方でした。妊婦の時から、そして産後お子様と一緒に、自宅とクリニックでのケアを行いました。
その後お母さまは、むし歯の処置が必要な歯はありませんし、何よりもお子様のカリエスフリー(むし歯ゼロ)を達成することができました。その後、4歳になりお母様と来院されました。母子ともに、変わらずむし歯ゼロです。
元気いっぱいの子で、皆様に写真をお見せできないのが残念です。
先日、PMTC、フッ素塗布をされて帰られました。


さぁ、予防歯科をはじめましょう!
右表はむし歯リスク検査の結果例です。
むし歯リスクの検査によって、あなた様のお口の特徴がわかれば、あなた様が生涯自分の歯を保てるようにアドバイスしていくことができます。
むし歯ができるたびに治療していては、入れ歯になることは明確です。さぁ、私たちと一緒に予防歯科をはじめましょう!
まずは、お気軽にご相談にいらしてください。
むし歯リスク検査の結果例

むし歯リスクの検査アイテム

むし歯リスクの検査アイテム
むし歯リスクの検査をすると言っても、使うものはこれだけです。
問診やお口の中を健診させて頂き、その後、唾液を採取します。検査は以上です。血液検査のような注射もありませんので当然痛みもありません。
検査結果は4〜5日程度でわかります。検査結果をもとに、PMTCをはじめとした予防方法のご提案をいたします。


むし歯の原因表

むし歯の原因は主に3つ。
これらを上手にコントロールできればむし歯は予防できます!

  • あなたのむし歯菌の数
  • あなたの歯を守る力
  • あなたの食事の習慣

むし歯の原因の組み合わせは人それぞれ。
毎日歯磨きをしてもむし歯になる人とならない人がいるのはそのためです。


予防歯科の流れ

むし歯・歯周病リスクの検査を行います。

むし歯予防→だ液の性質・むし歯菌の数・食生活などの検査
歯周病予防→ブラッシング・生活習慣・喫煙有無・関連疾患の有無などの検査
むし歯・歯周病のリスクを判定画像

むし歯・歯周病のリスクを判定

リスクコントロール方法の説明をします。(PMTCフッ素塗布キシリトール3DS・ブラッシング指導・生活指導など) 

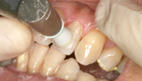
セルフケアと、医院でのプロフェッショナルケア画像
セルフケアと、医院でのプロフェッショナルケア
写真は、検査が終わって、プロの歯科衛生士がクリーニングをしているところです。バイオフィルムを除去しています。歯がつるつるになって気持ちいいですよ!

定期健診(メンテナンス)
快適で健康なお口のなかを維持するためには、メンテナンスが必要です。定期的な来院でむし歯・歯周病の発生や進行、再発を防ぐことが出来ます。

キシリトール
白樺や樫の木などからとれる天然素材の甘味料です。砂糖と異なりむし歯の原因になりません。
また、むし歯の発生・進行を防ぎます。
@ プラーク(歯垢)中のpHを5.7以下に下げません。(pH5.5以下になると歯が脱灰(溶ける)していきます。)
A むし歯の原因となる酸を産生しません。(作りません。)
B 唾液の分泌を促し、歯の再石灰化を促進します。
C ネバネバした落としにくいプラーク(歯垢)が減少します。

むし歯予防効果を十分に発揮させるためには、高濃度キシリトール配合のガムかタブレットを1日3〜5回3ヵ月以上続ける必要があります。むし歯になりやすい場合には、特に効果的と考えられます。また、寝る前のキシリトールは効果的です。

市販のキシリトールガムなど多くは、キシリトールが100%ではなく、砂糖や水あめが入っているものもあります。これを食べていては、虫歯予防になりません。
「シュガーレス」表示を確かめるか、パッケージの成分表示を良く見て、糖類が0gで有ることと、糖質中におけるキシリトールの割合が50%を超えている事を必ず確認してください。
歯科医院専用のキシリトールガムやタブレットはキシリトール100%ですので、歯みがきの後に食べてももちろん大丈夫ですし、寝る前に食べることで、お口の中の環境を良い状態にすることができます。


3DSとは
3DSとは「dental drug delivery system」の略で、薬剤によりむし歯や歯周病の原因菌を除菌し、むし歯や歯周病の予防を行う方法です。
3DSは特にむし歯菌の多い人や歯周病のリスクの高い人に適しています。

むし歯の主な原因菌であるミュータンス菌は、歯に住み着く性質があるため、歯だけに薬剤を作用することができればミュータンス菌だけを減少させることができます。
しかし、ミュータンス菌はバイオフィルムを形成して、薬剤が直接効かない環境を作ります。(抗菌剤などはバイオフィルムの内側に浸透できません。)
また、口腔内に投与された薬剤はすぐに唾液により希釈されてしまいます。
3DSは、PMTCにて完全にバイオフィルムを除去したあと、あらかじめ患者様の歯にあわせて作っておいたマウストレー内に薬剤をいれ、口腔内に装着します。これにより一定時間歯面にのみ薬剤を作用させることができます。薬剤は唾液に希釈されることなく、安全かつ確実に歯面だけに作用させることができ、むし歯菌などの除菌が期待できます。


オンライン歯科相談一覧

2009年4月2日 仙台市青葉区 19歳 男性
食事のときにコツコツと噛む音がします。おそらく上下の歯がぶつかっているのだと思います。痛みは全くありません。家族にもこの音が気になると言われました。以前はこの音はしてなかったと思うのですが、これは顎関節症なのでしょうか?

2009年3月5日 埼玉県三郷市 22歳 女性
一週間前に虫歯が神経まで達していて、詰める(消毒等をしていただきました)の処理をしてもらったのですが、その後上手く時間の都合がつかず2回目の診療に行けていません。

2009年3月4日 北海道札幌市 19歳 女性
私は幼い頃に1度歯医者へ行ったきりです。少しずつ虫歯が増えたのですがずっと放置していました。そして今は虫歯で上4本下1本がない状態です。歯茎の状態も良くなく残っているほとんどの歯も虫歯でひどいです。

2009年2月7日 神奈川県横浜市 65歳 男性
これまでの経験では、虫歯の神経を抜いた後は、小さな針のようなものに脱脂綿を付けて虫歯に開けた穴に何回も通すことを何日もやって貰っていたように記憶してます。ところが、今回のお医者さんは、神経を抜いた虫歯の上部にある脱脂綿を替えるだけです。

2009年1月18日 横浜市戸塚区 30歳 女性
はじめまして。妊娠5ヶ月の主婦です。今月はじめより下側の右奥歯の歯茎に膿の袋のようなものができ、歯科を受診したところ、その奥歯の根の先端にできた膿が表面にでてきたものだろうということでした。腫れてはおりますが、痛みなどはほとんどありません。

2008年11月24日 海外 32歳 女性
海外在住の者です。妊娠する前に歯科の治療を終わらせようと思っているのですが、生まれてくる子どものために3DSを受けたいと思い、一時帰国中に貴院に伺うことを考えております。

2008年11月14日  神奈川県横浜市 25歳 女性
先生によって虫歯の診断が異なることがあるのでしょうか。
あおばデンタルクリニック
神奈川県横浜市青葉区奈良5-16-10

Google mapで拡大

東急こどもの国線 こどもの国駅より徒歩9分
ご予約・お問合わせ
診療時間
午前の診療 9:00-13:00
午後の診療 14:30-19:00
毎週土曜日は、午前の診療 9:00〜 12:30  午後の診療 14:00〜18:00 となります。
オンライン予約
Copyright(c)2008-2011 Aoba Dental Clinic. All Rights Reserved.